2. 武汉市儿童医院 普外科, 湖北 武汉 430016
梅克尔憩室(Meckel's diverticulum,MD)是胚 胎期卵黄管退化不完全所形成的一种常见小肠发 育畸形,是儿童下消化道出血常见原因之一[1]。临 床主要表现为出血、感染或和肠扭转、肠梗阻。 幽门螺杆菌(Helicobacter pylori,Hp)是一种螺旋 状、微需氧、主要定植于人胃黏膜的革兰阴性菌, 而部分MD 黏膜存在异位胃黏膜,为Hp 定植、感 染提供了可能性[2]。目前有关MD 出血与Hp 感染 关系尚未明了,学者们意见不一[2, 3]。因此本研究 采用免疫组织化学方法监测了45 例MD 并出血和 36 例MD 并非出血患儿MD 及胃组织中Hp 的检出 率,探讨Hp 感染与MD 并出血的关系。 1 资料与方法 1.1 研究对象
选取我科2010 年1 月至2013 年1 月收治经 手术及病理确诊的MD 患儿81 例为研究对象,根 据临床症状分为出血组(45 例,其中异位胃黏膜 40 例,异位胰腺2 例,其它组织3 例)和非出血 组(36 例,其中异位胃黏膜20 例,异位胰腺2 例, 其它组织14 例),非出血组中因术前诊断阑尾 炎术中发现MD 者11 例,因肠梗阻剖腹探查发现 MD 者23 例,因其它原因剖腹探查发现MD 者2 例。 45 例出血组患儿中男34 例,女11 例,年龄4 个 月~14 岁,中位年龄2 岁7 个月,术前出血次数 ≤ 2 次27 例,>2 次18 例;36 例非出血组患儿中 男25 例,女11 例,年龄6 个月~12 岁,中位年 龄3 岁2 个月。另外,出血组患儿术前胃镜检查 取得胃组织,非出血组术后2 周胃镜检查活检取 得胃组织。Hp 检测采用多克隆兔抗,一抗(ZA- 0127)由中山金桥提供。 1.2 研究方法
采用免疫组化法检测MD 及胃组织中Hp 抗 体。(1) 脱蜡、水化组织切片,1 mM pH 8.0 EDTA 抗原修复;(2)3% 双氧水去离子水孵育 10 min,以阻断内源性过氧化物酶;(3)PBS 冲 洗,2 min×3 次;(4)滴加一抗,室温或37℃孵 育1~2 h,PBS 冲洗,2 min×3 次;(5)滴加试剂 1(Polymer Helper), 室温或37℃孵育20 min, PBS 冲洗,2 min×3 次;(6)滴加试剂2(二抗 多聚体),室温或37℃孵育20~30 min,PBS 冲洗,2 min×3 次;(7)DAB 溶液显色;(8)自来水 充分冲洗、复染苏木素、脱水、透明、封片。 1.3 判定标准
胃黏膜及异位胃黏膜的上皮细胞表面及胞浆 中Hp 的阳性表达呈棕色或棕褐色,高倍显微镜下 可见Hp 即判定为阳性检出。2 例已经确诊Hp 感 染的标本作为阳性对照。 1.4 统计学分析
采用SPSS 13.0 软件对数据进行统计学分析, 计数资料用百分率(%)表示,两组间比较采用 χ2 检验,MD 及胃组织中Hp 检出率的相关性分析 采用Spearman 等级相关分析,P<0.05 为差异有统 计学意义。 2 结果 2.1 Hp 在MD 组织及胃组织中的检出率
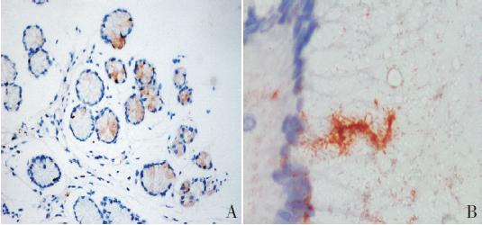
胃组织标本或MD 组织的胃黏膜或异位胃黏 膜上皮细胞表面及胞浆中可见Hp 阳性表达,呈棕 色或棕褐色,高倍显微镜下可见Hp,见图 1。
![]() |
图 1 免疫组化法检测Hp 在MD 异位胃黏膜组织中的 表达(DAB) 图A(×200)可见细胞膜及胞浆中Hp 阳性表达 呈棕色或棕褐色;图B(×1 000)高倍显微镜下可见Hp 聚集成团。 |
出血组MD 组织Hp 阳性检出率高于非出血组 (P=0.011);出血组胃组织Hp 阳性检出率与非 出血组比较差异无统计学意义(P=0.058)。见表1。
| 表 1 Hp 在MD 患儿胃及MD 组织中的检出率 [ 例(%) |
MD 并出血患儿MD 组织中Hp 阳性检出率与 患儿年龄、性别、术前出血次数、每次出血量、 MD 长度、MD 基底直径和病理类型无相关性(均 P>0.05),与MD 距回盲部距离、胃黏膜分布、是 否伴有溃疡及溃疡深浅有相关性(均P<0.05), 见表2。
| 表 2 出血组患儿Hp 在MD 组织中的检出率与各临床因 素间的关系 [ 例(%)] |
45 例MD 并出血患儿中,32 例MD 组织和胃 组织中Hp 均同时为阳性表达,4 例均同时为阴性 表达,出血组患儿MD 组织与胃组织中Hp 阳性表 达呈显著正相关(r=0.835,P=0.009)。 3 讨论
免疫组化染色方法主要用于检测Hp 球形菌、 治疗后Hp 球形变或Hp 致病机理的研究,其虽然 不能作为诊断Hp 感染常规手段,但组织病理切片 敏感度在66%~100%,特异度在94%~100%[4],因 此比较适合胃黏膜及MD 组织中Hp 的检测。 本研究结果显示,出血组MD 组织Hp 阳性检 出率(76%)高于非出血组(47%),提示Hp 感 染在MD 患儿的出血中可能起一定作用。Edge 等[5] 研究认为MD 组织中Hp 感染与MD 出现临床并发 症表现有明显相关,Ackerman 等[3] 用免疫组化方 法监测了7 例MD 并出血患儿中Hp 感染情况,发 现3 例MD 组织中伴Hp 感染,进一步证实Hp 在 MD 出血的病理过程中起着一定作用。但也有许多 学者认为MD 并发出血与Hp 感染无关,Karagin 等[6] 用PCR 方法检测了33 例MD 组织,没有发 现MD 组织中有Hp 的存在,Finn 等[7] 用免疫组化 方法回顾分析了10 年45 例MD 组织中Hp 的检出 率,发现28 例MD 并发出血MD 组织中仅1 例Hp 为阳性表达,Brar 等[8] 认为MD 并出血主要与MD 中异位胃黏膜致MD 溃疡有关,与Hp 感染无关。 本组结果显示MD 组织中Hp 阳性检出率较高,考 虑与下列因素相关:(1)儿童感染Hp 多无明显 临床表现。Sicinschi 等[9] 非侵入的尿素呼吸试验 检测86 例无临床表现儿童,发现69 例为阳性, 阳性率为80.2%;(2)我国是Hp 高感染国家。 约有7 亿人感染H pylori,普通人群的感染率为 34.52%~80.55%,多数地区人群感染率在50% 左右, 平均感染率为58.07%[10];(3)儿童是Hp 感染的 高危人群。我国流行病学调查显示,Hp 主要以口- 口、粪- 口途径传播,儿童期为Hp 感染率剧增期, 每年以3%~10% 甚至更高的速度急剧上升,至10 岁有40%~60% 以上的人受感染[11];张勇等[12] 检 测了376 例有上消化道症状的3~16 岁患儿,发现 Hp 感染率达44.9%。(4)西方发达国家儿童Hp 感染率较低。瑞典4~18 岁自然人群中Hp 阳性率 为10.1%,法国10 岁内儿童Hp 感染率仅为3.5%[13]。
本研究还表明,MD 并出血患儿MD 组织中 Hp 阳性检出率与患儿年龄、性别、术前出血次数、 每次出血量、MD 长度、MD 基底直径和病理类型无关,但与MD 位置、异位胃黏膜分布是否伴有溃 疡及溃疡深度相关。MD 距离回盲部越远,Hp 阳 性检出率越高,提示MD 组织中Hp 感染与胃组织 中Hp 密切相关。Kim 等[14] 研究发现20 例Hp 感 染的胃炎患者中,11 例末端回肠灌洗液中可培养 出Hp,仅9 例直肠灌洗液中可培育出Hp,本研 究结果与之相似。Hp 已确认与消化性溃疡密切相 关[15],本研究也发现,当MD 伴有溃疡时,Hp 阳 性检出率越高,反之,MD 未伴发溃疡时,Hp 阳 性检出率较低,表明Hp 可能参与了MD 出血的病 理生理过程。但Hp 如何引起MD 溃疡?是否和其 引起胃及十二指肠溃疡机制一样?还需进一步更 具体研究和证实。本研究45 例MD 并出血患儿中,32 例MD 组 织和胃组织中Hp 均同时表达阳性,4 例均同时表 达阴性,出血组患儿MD 组织与胃组织中Hp 阳性 检出率呈显著正相关,表明MD 组织中Hp 与胃组 织中Hp 密切相关,提示MD 中Hp 可能来自胃组 织。Moon 等[16] 通过大便抗原试验检测到Hp 感染 的C57BL/6 小鼠的大便中存在Hp,表明Hp 可通 过消化道而不被灭活,Hp 为革兰阴性菌,主要定 植于人的胃黏膜,MD 并出血患儿MD 组织中有较 高的异位胃黏膜存在(40/45),为Hp 定植、感 染提供了可能性。
总之,MD 组织中异位胃黏膜的存在为Hp 感 染提供了基础,MD 中Hp 可能来自胃组织,Hp 在 MD 并发出血患儿MD 组织中有较高的检出率,Hp 感染在MD 并出血患儿的出血过程中可能起一定作 用。
| [1] | 郑珊. 梅克尔憩室[M]//施诚仁, 金先庆, 李仲智. 小儿外科 学. 第4 版. 北京:人民卫生出版社, 2010: 284-287. |
| [2] | Tuzun A, Polat Z, Kilciler G, et al. Evaluation for Helicobacter pylori in Meckel's diverticulum by using real-time PCR[J]. Dig Dis Sci, 2010, 55(7): 1969-1974. |
| [3] | Ackerman Z, Peston D, Cohen P. Role of Helicobacter pylori infection in complications from Meckel's diverticulum[J]. Dig Dis Sci, 2003, 48(6): 1068-1072. |
| [4] | Guarner J, Kalach N, Elitsur Y, et al. Helicobacter pylori diagnostic tests in children: review of the literature from 1999 to 2009[J]. Eur J Pediatr, 2010, 169(1): 15-25. |
| [5] | Edge JM, Schneider JW, Moore SW. Clinicopathological features of Meckel's diverticula in 32 patients, with emphasis on the presence of Helicobacter pylori[J]. S Afr J Surg, 2001, 39(3): 80-82. |
| [6] | Karagin PH, Stenram U, Wadstrom T, et al. Helicobacter species and gut bacterial DNA in Meckel's diverticulum and the appendix[J]. World J Gastroenterol, 2011, 17(36): 4104-4108. |
| [7] | Finn LS, Christie DL. Helicobacter pylori and Meckel's diverticula[J]. J Pediatr Gastroenterol Nutr, 2001, 32(2): 150-155. |
| [8] | Brar AS, Gill RS, Gill SS, et al. NSAID-associated perforation of a meckels diverticulum: a case report[J]. J Clin Med Res, 2011, 3(2): 96-98. |
| [9] | Sicinschi LA, Correa P, Bravo LE, et al. Non-invasive genotyping of Helicobacter pylori cagA, vacA, and hopQ from asymptomatic children[J]. Helicobacter, 2012, 17(2): 96-106. |
| [10] | 王凯娟, 王润田. 中国幽门螺杆菌感染流行病学Meta 分析[J]. 中华流行病学杂志, 2003, 24(6): 443-446. |
| [11] | 胡伏莲. 幽门螺杆菌感染的流行病学[J]. 中国医刊, 2007, 42(2): 17-18. |
| [12] | 张勇, 李锦霞. 有消化道症状儿童幽门螺杆菌现症感染的调 查[J]. 中国当代儿科杂志, 2012, 14(9): 675-677. |
| [13] | 单庆文, 王琳琳. 儿童幽门螺杆菌感染的流行病学研究进展[J]. 医学综述, 2004, 10(9): 570-573. |
| [14] | Kim do H, Jung HM, Hwang YJ, et al. Culture and polymerase chain reaction of Helicobacter pylori from rectal and terminal ileal fluid after polyethylene glycol (colyte) ingestion in healthy adults with positive urea breath test[J]. Korean J Gastroenterol, 2010, 56(1): 27-32. |
| [15] | 金哲, 胡扶莲, 魏红, 等. 幽门螺杆菌长期感染蒙古沙土鼠腺 胃模型的建立与评价[J]. 中华医学杂志, 2008, 88(22): 1518-1522. |
| [16] | Moon DI, Shin EH, Oh HG, et al. Usefulness of a Helicobacter pylori stool antigen test for diagnosing Hp infected C57BL/6 mice[J]. Lab Anim Res, 2013, 29(1): 27-32. |
2014, Vol. 16



