微小病变肾小球病(minimal change glomerulo- pathy,MCG)是儿童肾病综合征中最常见的肾 脏病理类型,局灶节段性肾小球硬化症(focal segmental glomerulosclerosis,FSGS)是引起儿童慢 性肾功能不全的重要病因之一。两者都具有肾病 综合征典型的临床表现,但其治疗效果及预后有 明显差别。行肾穿刺活检术确定其病理类型前是 否能够通过其它生化指标进行鉴别诊断却鲜有报 道。有关研究表明血中脂蛋白和胆固醇的增加具 有脂质肾毒性,可以促进肾脏纤维化及肾动脉硬 化、肾小球硬化 [1] 。同时有研究指出用非高密度脂 蛋白胆固醇(non-high density lipoprotein cholesterol, non-HDL-C)可以预测以及评估冠心病及动脉粥样 硬化的危险性 [2] ,推荐将其作为冠心病及其高危人 群防治调脂治疗的第二靶点。肾病综合征患者中 胆固醇尤其是non-HDL-C的变化对肾小球硬化是 否具有指导意义?与此同时肾病综合征患者凝血 因子的改变以纤维蛋白原(fibrinogen,FIB)升高 最明显,而FIB和纤维素与动脉粥样硬化关系极 为密切,那么FIB在肾小球硬化中是否也起着重 要作用?为此,本研究对63例原发性肾病综合征 患儿的胆固醇及FIB水平进行回顾性分析,现将 资料总结如下。 1 资料与方法 1.1 研究对象
收集2010年1月至2013年2月在郑州大学 第一附属医院儿科住院并行肾活检的原发性肾病 综合征患儿63例为研究对象,肾活检所取肾组织 分送光镜、免疫病理及电镜检查,其中FSGS的病 理分型依据2004年国际肾脏病学提出的标准 [3] 。 所有患儿均有不同程度的水肿、蛋白尿、低蛋白 血症和高脂血症;均符合2009年中华医学会儿科 学分会肾脏病学组制定的原发性肾病综合征诊断 标准 [4] ;排除紫癜性肾炎、狼疮性肾炎、糖尿病肾病、 乙型肝炎病毒相关性肾炎等继发性肾病,同时结 合患儿病史、家族史、实验室检查、光镜及电镜 结果排除遗传性肾病的病例。63例患儿依据肾活 检结果确诊并分为MCG组(n=39)和FSGS组 (n=24)。入组患儿身高体质量指数在18.5~23.9 之间,无肥胖患儿。 1.2 研究方法
入院患儿确诊为肾病综合征后口服足量糖皮 质激素治疗[醋酸泼尼松片1.5~2 mg/(kg·d)]4周或 4周以上,然后行肾穿刺活检术。于肾穿刺前1 d 空腹12 h后采集静脉血2 mL,BECKMAN LX20全 自动生化分析仪测定血清总胆固醇(TC)、高密 度脂蛋白胆固醇(HDL-C)、低密度脂蛋白胆固醇 (LDL-C),non-HDL-C以TC减去HDL-C计算; 法国STAGO Compact全自动凝血分析仪检测血清 FIB。留取24 h尿液测定尿蛋白定量。 1.3 统计学分析
应用SPSS 17.0统计软件对数据进行统计学 分析,计量资料采用均数±标准差(x±s)表 示,两独立样本计量资料的比较采用t检验。采用 logistic回归分析比较各项胆固醇指标及FIB对肾 小球硬化的影响。P<0.05为差异有统计学意义。 2 结果 2.1 一般资料
63例肾病综合征患儿中,MCG组39例, 男31例,女8例,平均年龄6±3岁;病程1个 月~5年,口服足量激素4周尿蛋白不转阴的有 7例,占18%。FSGS 24例,男16例,女8例, 平均年龄5±3岁;根据病理类型分为非特殊型 11例(46%),细胞型4例(17%),顶端型5例 (21%),塌陷型和门部型各2例(8%);病程 1个月~7年,口服足量激素4周尿蛋白不转阴的 有12例,占50%。两组年龄、性别及病程比较差 异均无统计学意义(均P>0.05)。 2.2 肾穿刺病理结果
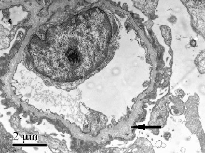
63例肾穿刺活检病理结果中均无FIB相关抗 原的沉积;24例FSGS患儿中,2例病理切片可见 肾间质中有多灶状分布的泡沫细胞形成(图 1), 5例电镜下有基底膜不同程度的改变,表现为厚薄 不均、节段皱缩、致密层分层改变、上皮足突广 泛融合等(图 2)。39例MCG组患儿的病理切片 均未发现上述典型改变。
![]() |
图 1 FSGS患儿肾脏病理检查结果(Masson染色, ×200) 患儿,男,6岁,病理分型为FSGS(门部型),肾间质中有多灶状分布的泡沫细胞形成(箭头所示)。 |
![]() |
图 2FSGS患儿肾脏透视电镜结果(×15000) 患 儿,男,7岁,病理分型为FSGS(非特殊型),基底膜有厚薄不均的改变(箭头所示)。 |
FSGS组中TC、non-HDL-C及LDL-C水平均 较MCG组显著增高(均P<0.01);HDL-C、 FIB、24 h尿蛋白定量在两组间差异无统计学意义 (均P>0.05)。见表 1。
| 表 1 两组血清相关指标及24 h尿蛋白定量检测结果 |
对TC、non-HDL-C、LDL-C、HDL-C及FIB 进行多因素logistic回归分析,结果表明LDL-C、 non-HDL-C和TC是肾小球硬化的危险因素,见表 2。
| 表 2肾小球硬化危险因素的logistic回归分析 |
两组口服足量激素4周尿蛋白不转阴的患 儿进行对比分析,FSGS组中non-HDL-C水平较 MCG组增高(P<0.05);而TC、LDL-C、HDL-C 及FIB水平在两组间比较差异均无统计学意义(均 P>0.05)。见表 3。
| 表 3口服足量激素4周尿蛋白不转阴的两组血清相关指标比较 |
肾病综合征患儿中最常见的病理表现为 MCG,大部分对激素敏感,但易于复发,部分患 儿对激素耐药,表现为尿蛋白持续不转阴。FSGS 是累及肾小球部分毛细血管袢的非炎症硬化性疾 病,为儿童肾脏疾病持续进展至终末期肾病最常 见的病理类型 [5] 。本研究发现两者在发病年龄、性 别及临床表现上差异并不明显,只有通过肾穿刺 活检术才能明确区分两者的病理类型。但肾活检 属有创性检查,且有其适应症及禁忌症,对年龄 较小患儿因不能有效配合,其风险更大。胆固醇 在动脉硬化中的作用现已受到国内外学者的关注, 但能否将其作为评估肾小球硬化的风险,该方面 的研究并不多见。
肾小球硬化与动脉硬化有相似的病理生理过 程,二者都与血脂异常有关 [6] 。本文在FSGS组 与MCG组的对比研究中发现,non-HDL-C、TC 及LDL-C在FSGS中显著高于MCG,两组相比均 有显著差异。其病理生理过程尚不清楚,可能原 因有:(1)肾病综合征患者血清中抗动脉粥样 硬化因子下降,致病因子增加,体内已具备引发 动脉粥样硬化性心血管疾病的生物化学基础 [7] ; (2)持续高脂血症,脂质从肾小球滤除,可促进 血管动脉硬化的形成;(3)氧化的低密度脂蛋白 可以通过内皮细胞产生单核细胞趋化因子或粘附 分子,促进局部炎症反应,形成泡沫细胞,胆固 醇在细胞内不断聚集是巨噬细胞泡沫化的重要过 程 [8] 。24例FSGS患儿肾脏病理中,2例肾间质 中可见多灶状分布的泡沫细胞形成,泡沫细胞中 含有大量三酰甘油,聚集于肾小球周围,参与肾 小球硬化的发生 [9] 。低密度脂蛋白受体相关蛋白 (LRP)作为结缔组织生长因子(CTGF)的受体 蛋白,二者结合后可能引发LRP胞内区C端的酪 氨酸残基磷酸化等一系列信号转导,促进肾脏纤 维化 [10] 。(4)肾脏疾病中脂蛋白增加、胆固醇增加, 低密度脂蛋白胆固醇升高,高密度脂蛋白胆固醇 降低,导致肾小球基底膜通透性增加,系膜细胞 增殖,脂质累积于肾小球足细胞及肾毒性造成肾 小管间质疾病、肾小球硬化等 [11] ;(5)LDL-C在 肾小球内沉积,诱导单核巨噬细胞浸润和血小板 聚集,系膜细胞增殖,局部凝血障碍及纤维素沉积, 肾小球损伤呈进行性进展。
在对两组进行回归分析时发现,LDL-C是 差异最明显的变量(OR=1.445),其次是non- HDL-C(OR=1.331)。在口服足量激素4周尿 蛋白不转阴的患儿中进行对比分析,FSGS组中 non-HDL-C含量为8.0±3.9 mmol/L,较MCG组 (5.3±1.2 mmol/L)增高,差异有统计学意义。这 与有关文献报道在预测心血管风险中,non-HDL-C 比LDL-C更能反映血脂的异常,评估心血管的风 险性更高相一致 [13, 14] 。原因可能为在动脉硬化形成 过程中,LDL-C在其中起到重要作用,但极低密 度脂蛋白胆固醇(VLDL-C)和中间密度脂蛋白胆 固醇(IDL-C)也参与其中。极低密度脂蛋白受体 (VLDLR)通过摄取VLDL导致泡沫细胞的形成 [15] , 同时氧化低密度脂蛋白胆固醇(Ox-LDL)在肾小 球硬化及肾间质纤维化中发挥着重要作用 [16] 。当 TG>2.26 mmol/L时,non-HDL-C与LDL-C相关性 下降,此时一部分胆固醇分布于大量的VLDL或 乳糜微粒中 [17] 。在24例FSGS患儿肾脏病理中, 有5例电镜下有基底膜不同程度的改变,表现为 厚薄不均、节段皱缩、致密层分层改变、上皮足 突广泛融合等,这些改变有利于脂质在肾小球足 细胞累积及纤维素沉积,促进肾脏纤维化的发生。
肾脏组织中的免疫炎症、内皮细胞损伤与凝 血纤溶异常之间是相互关联、互为因果的关系。 肾病综合征患儿肾组织中升高的FIB可以促进毛 细血管血栓形成,肾小球毛细血管袢受损,促进 肾小球硬化 [18] ,肾组织中FIB相关抗原沉积在肾 小球硬化过程中起到重要作用。本文研究发现血 浆FIB在两组间比较并无显著差异,且63例患儿 肾穿刺病理结果中均无FIB沉积,表明血浆FIB 含量高低与肾脏组织内FIB的沉积并无相关性, 血浆FIB的高低并不能真正反映肾脏中FIB的含 量,同时可能与部分患儿患病初期积极应用肝素 抗凝治疗,延缓组织纤维化进展有关 [19] 。
综上所述,在肾病综合征患儿中,血清TC、 non-HDL-C、LDL-C参与及促进肾小球硬化的发生, non-HDL-C、LDL-C对评估肾小球硬化的风险有重 要意义。若口服足量激素4周内尿蛋白持续不转 阴,non-HDL-C在预测肾小球硬化的风险中意义更 大。non-HDL-C明显增高,应高度警惕FSGS的可 能,需尽早行肾穿刺活检术,以尽快明确病理类 型,指导临床治疗。目前尚无充分证据证明血浆 中FIB的高低与肾小球硬化有直接关系,不能以 血浆FIB的含量来评估或预测肾小球硬化的风险。 检测non-HDL-C无需空腹采血,也不受高TG的 影响,只需要测定TC和HDL-C即可计算出non- HDL-C,方法简单,有较好的临床应用价值。因此, 在肾病综合征早期,应密切关注non-HDL-C的变 化,以达到早期预防的目的。
志谢:感谢郑州大学第一附属医院小儿内科、 肾病病理室及所有支持本研究的患儿、家长、同 学和各位老师。
| [1] | Gyebi L, Soltani Z, Reisin E. Lipid nephrotoxicity: new concept for an old disease[J]. Curr Hypertens Rep, 2012, 14(2): 177-181. |
| [2] | 李建斋, 王抒, 曾平. 非高密度脂蛋白胆固醇用于评估及预测冠心病危险[J]. 中华心血管病杂志, 2004, 32(11): 963-966. |
| [3] | D'Agati VD, Fogo AB, Bruijn JA, et a1. Pathological classification of focal segmental glomeruloscleresis: a working proposal[J]. Am J Kidney Dis, 2004, 43(2): 368-382. |
| [4] | 中华医学会儿科学分会肾脏病学组. 儿童常见肾脏疾病诊治循证指南(一):激素敏感、复发/依赖肾病综合征诊治循证指南(试行)[J]. 中华儿科杂志, 2009, 47(3): 167-170. |
| [5] | 卫敏江, 吴伟岚, 陈敏怡. TGF-β与肝细胞生长因子在儿童原发性局灶节段性肾小球硬化肾组织中的表达[J]. 中国当代儿科杂志, 2010, 12(8): 630-633. |
| [6] | Saito T. Abnormal lipid metabolism and renal disorders[J]. Tohoku J Exp Med, 1997, 181(3): 321-337. |
| [7] | 陈涛. 糖尿病、心脑血管病和肾病综合征患者脂质代谢水平测定及临床意义[J]. 医学检验与临床, 2004, 1(2): 67-68. |
| [8] | 苏华, 付玲, 刘建社, 等. ATP结合元件A1与肾间质泡沫细胞形成、小管间质损害及血清胆固醇的相关性[J]. 中华肾脏病杂志, 2011, 27(11): 819-824. |
| [9] | 陈丹, 陈燕, 曾彩虹, 等. 肾小球疾病患者肾间质泡沫细胞的分布及意义[J]. 肾脏病与透析肾移植杂志, 2006, 15(4): 322-328. |
| [10] | 李晓忠. 肾脏纤维化能逆转吗?[J]. 实用儿科临床杂志, 2011, 26(17): 1305-1307. |
| [11] | Lee HS. Mechanisms and consequences of hypertriglyceridemia and cellular lipid accumulation in chronic kidney disease and metabolic syndrome[J]. Histol Histopathol, 2011, 26(12): 1599-1610. |
| [12] | 李国璋, 郭海鸽, 郑忠欣, 等. 原发性肾病综合征患者血脂及载脂蛋白的变化[J]. 心脏杂志, 2003, 15(4): 340-341. |
| [13] | Contois JH, Warnick GR, Sniderman AD. Reliability of low-density lipoproteincholesterol, non-high-density lipoprotein cholesterol, and apolipoprotein B measurement[J]. J Clin Lipidol, 2011, 5(4): 264-272. |
| [14] | Sniderman AD, Islam S, Yusuf S, et al. Discordance analysis of Apolipoprotein B and non-high density lipoprotein cholesterol as markers of cardiovascular risk in the INTERHEART study[J]. Atherosclerosis, 2012, 225(2): 444-449. |
| [15] | 王明晓, 徐留建, 邹阳春, 等. 非高密度脂蛋白胆固醇的研究进展[J]. 中国心血管病研究, 2010, 8(8): 602-606. |
| [16] | 张婕. 氧化低密度脂蛋白与肾小球硬化的研究进展[J]. 临床儿科杂志, 2011, 29(8): 793-795. |
| [17] | Abate N, Vega GL, Grundy SM. Variability in cholesterol content and physical properties of lipoproteins containing apolipoprotein B-100[J]. Atherosclerosis, 1993, 104(1-2): 159-171. |
| [18] | Okwuosa TM, Klein O, Chan C, et al. 13-year long-term associations between changes in traditional cardiovascular risk factors and changes in fibrinogen levels: the Coronary Artery Risk Development in Young Adults (CARDIA) study[J]. Atherosclerosis, 2013, 226(1): 214-219. |
| [19] | 付强, 周艳玲, 宋晓翔, 等.小剂量肝素联合尿激酶治疗儿童原发性肾病综合征伴高凝状态[J]. 中国当代儿科杂志, 2011, 13(11): 921-922. |
2014, Vol. 16




