中国当代儿科杂志  2015, Vol. 17 Issue (2): 199-200   PDF    
右肩钙化性腱膜纤维瘤1例报告
张海金    
嘉兴市妇幼保健院放射科, 浙江 嘉兴 314000
Calcifying aponeurotic fibroma of the right shoulder in an infant
ZHANG Hai-Jin    
Department of Radiology, Maternity and Child Health Hospital of Jiaxing, Jiaxing 314000, China

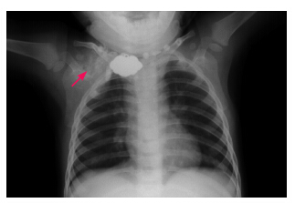
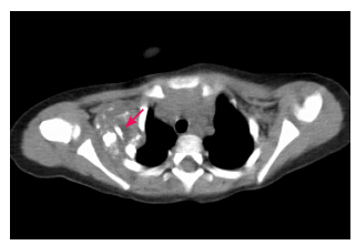
患儿男,1岁,因发现右肩部肿物1周就诊。1周前发现右肩肿物,约小核桃大小,无外伤史。体查:右肩中部皮下可触及肿物,约2cm×2cm大小,不随体位移动,边界清晰,质韧,无血管杂音,无明显压痛。彩超检查示右肩部不均质团块。胸部X线片检查示(图 1):右肩胛骨区见混杂高密度影,内见条片状高密度影,边界不清,临近肋骨未见破坏,性质待查。CT扫描示(图 2):右侧肩胛骨前内侧锁骨后内侧一软组织肿块影,内见多发云絮状、斑片状钙化灶;大小约3.0cm×3.7cm×5.0cm;与邻近肋骨、肩胛骨分界不清,但无明确骨质破坏。入院诊断:软组织软骨瘤;畸胎瘤。家族无类似疾病史。入院后行右侧肩部肿物切除术,术中见肿块位于右肩部锁骨肩胛窝偏下,约5.0cm×3.0cm大小,分叶状,形态不规则,质地硬,来源不明确,颈部未发现肿大淋巴结。术中诊断:右肩部肿块,性质待查。予以右侧肩部肿块完全切除,并送病理学检查,其结果见图 3。术后病理学诊断:钙化性腱膜纤维瘤(右肩)。随访6个月无复发。

图 1 胸片 X 线检查 可见右肩胛骨区混杂高密度影,内见条片状高密度影 (箭头所示)。

图 2 胸部 CT 扫描 可见右侧腋部软组织肿块,内见云絮状、斑片状钙化灶(箭头所示)。

图 3 术后病理学检查 肿瘤细胞呈梭形,核小,胞浆红染,异形不明显(绿色箭头所示);钙化呈深染色,无细胞轮廓(蓝色箭头所示)。

讨论:钙化性腱膜纤维瘤是一种非常罕见、好发于儿童和青少年手掌和足底的良性肿瘤,罕见于背部、手臂、颈部、腹壁,有局部复发倾向[1]。至2008年止,国外文献报道该病例不足150例[2],国内个案报道在10例以下[3]。该肿瘤多为单发,少数文献偶有多发的报道[3]。有明显性别倾向,男性多见,男女比例为2:1[4];临床多发生于深部筋膜或骨旁,多表现为持续性或缓慢性生长的肿块[5],肿瘤呈浸润性生长,术后易复发,且年龄越小复发率越高,但不具有破坏和侵袭性[4]。大多数肿块体积较小,最大径小于3cm,呈结节状,界限清晰,无包膜,与邻近骨及关节无明显关系,但也有巨大肿块的报道[6]。本例钙化性腱膜纤维瘤发生于肩部,罕见,且体积较大,诊断较困难。钙化性腱膜纤维瘤组织病理学典型病变包括两种成分:(1)结节状钙化,每个钙化灶周围都有短的、平行排列的圆形细胞和软骨细胞样栅栏围绕;(2)融合的钙化之间为细胞成分稀少的梭形纤维母细胞性细胞,并浸润至周围软组织。

钙化性腱膜纤维瘤需与婴幼儿型纤维瘤病、婴儿纤维错构瘤、软组织软骨瘤、皮下钙化结节相鉴别。婴幼儿型纤维瘤病好发于头颈、肩胛带的筋膜和肌肉,但缺乏钙化或软骨样特征[5]。婴儿纤维错构瘤好发于腋下、腹股沟,由3个胚层成分构成。软组织软骨瘤好发于手指骨,多见于成年人,肿瘤分叶状,钙化弥漫。皮下钙化结节多位于真皮脂肪组织内颗粒状或小团块状钙化灶,且钙化灶大。钙化性腱膜纤维瘤在X线片上无特异性,CT扫描可观察其钙化特征,结合年龄和生长部位对其诊断有一定帮助。本例钙化性腱膜纤维瘤发生部位罕见,CT扫描示肿块内见多发云絮状、斑片状钙化灶,后行病理学检查确诊。该病以手术切除为主要治疗手段,但术后易复发,约半数患者术后1个月至7年内复发,且年龄越小越容易复发[7],因此术后要长期随访。本例患儿随访6个月无复发。

参考文献
[1] 王坚, 朱雄增. 软组织肿瘤病理学[M]. 北京: 人民卫生出版社, 2008: 99-100.
[2] Weiss SW, Goldblum JR. Soft tissue tumors[M]. 5th ed. St. Louis: Mosby, 2008: 289-292.
[3] 黄传胜, 施全, 崔华娟, 等.钙化性腱膜纤维瘤5例临床病理分析[J]. 诊断病理学杂志, 2013, 20(11): 714-716.
[4] 王磊, 马小兵, 李红民, 等. 食指掌指关节钙化性腱膜纤维瘤1例[J]. 临床与实验病理杂志, 2011, 27(11): 1270.
[5] 廖松林. 肿瘤病理诊断与鉴别诊断学[M]. 福州: 福建科学技术出版社, 2006: 906.
[6] Arora S, Sabat D, Arora SK, et al. Giant intramuscular calcifying aponeurotic fibroma of gluteus maximus: case report[J]. Ann Trop Paediatr, 2010, 30(3): 259-263.
[7] 甘梅富, 张建伟, 周涛. 手掌钙化性腱膜纤维瘤1例报告[J].实用肿瘤杂志, 2004, 19(3): 195.