2. 福建医科大学教学医院福建省妇幼保健院新生儿科, 福建 福州 350001;
3. 中国人民解放军白求恩国际和平医院儿科, 河北 石家庄 050082
早产儿支气管肺发育不良(bronchopulmonary dysplasia,BPD)是严重威胁早产儿存活及预后的 疾病之一。BPD 患儿存活者由于肺功能受损,住 院时间长,再次入院率高[1];可伴有神经系统发育 受损,对存活早产儿的生存质量影响巨大[2]。随着 围产技术和新生儿重症技术的日益发展,早产儿 尤其是超低、极低出生体重儿的出生率及存活率 逐年上升,早产儿BPD 的发生率亦呈上升趋势。 然而目前该病尚缺乏有效的治疗方法[3]。为了早 期辨识BPD 发生的几率及严重程度,为预防BPD 的发生及临床诊治提供依据,了解不同严重程度 BPD 的临床表现及影像学特点显得尤为重要。本 研究通过对不同严重程度BPD 患儿的临床及影像 学表现进行分析,以期为该病的临床诊治提供依 据。 1 资料与方法 1.1 研究对象
从2013 年11 月至2014 年5 月入住北京军区 总医院八一儿童医院极早产病房胎龄<32 周且确 诊为BPD 的新生儿中,纳入入院日龄≤ 24 h 且有 进行胸部CT 检查的患儿作为研究对象。患有复 杂性先天性心脏病、染色体异常者被排除。共有 59 例患儿纳入本研究,其中男44 例,女15 例; 胎龄25.6~31.7 周,平均28.6±1.3 周;出生体重 740~1 600 g,平均1 191±218 g,包括极低出生体 重儿52 例,超低出生体重儿13 例。59 例患儿按 病情严重程度分为:轻度组(n=37)及中/ 重度组 (n=22)。 1.2 BPD 诊断及分度标准
BPD 诊断及分度标准参照文献[4]。任何氧 依赖(FiO2>21%)超过28 d 的新生儿即诊断为 BPD。如胎龄<32 周,根据校正胎龄36 周或出院 时需要的吸入氧浓度(FiO2)分度:(1)轻度: 未用氧;(2) 中度:FiO2<30%;(3) 重度: FiO2 ≥ 30% 或需机械通气。 1.3 经典型BPD 影像学改变分期标准
据Northway 等[5] 报道,BPD 患儿 X 线胸片有 特征性改变,即Ⅰ期(1~3 d):双肺野呈磨玻璃 状改变,与呼吸窘迫综合征(RDS)的X 线改变相同;Ⅱ期(4~10 d):双肺完全不透明;Ⅲ期(11~30 d): 双肺野密度不均,可见线条状或斑片状阴影间伴 充气的透亮小囊腔;Ⅳ期(1 个月后):双肺野透 亮区扩大呈囊泡状,伴两肺结构紊乱、有散在条 状或斑片影以及充气过度和肺不张。 1.4 新生儿RDS 影像学分级标准
新生儿RDS 影像学分级标准参照文献[6]。Ⅰ 级:两肺野普遍透亮度减低,可见均匀散在的细 小颗粒和网状阴影;Ⅱ级:Ⅰ级改变加重伴支气 管充气征;Ⅲ级:肺野透亮度更低,心缘及膈面 模糊;Ⅳ级:肺野呈白肺。 1.5 胸部影像学检查时间
胸部X 线检查时间为:出生后1 d、4~10 d、 11~27 d、28 d 以上。确诊为BPD 的患儿均进行胸 部CT 检查,住院期间胸部CT 检查仅执行1 次, 检查时间为停氧后7 d 内进行。因目前认为不同类 型BPD 在影像学表现上大致相似[4, 7],故仍然沿用 经典型BPD 的描述对所有BPD 影像进行分析。 1.6 资料收集
记录患儿胎龄、性别、出生体重、最高吸氧 浓度、有创通气时间、无创通气时间、氧疗时间、 抗生素使用时间、静脉营养使用时间、红细胞输 注次数、住院时间、影像学检查结果及院内感染、 肺出血、症状性动脉导管未闭(PDA)、坏死性小 肠结肠炎(NEC)、早产儿视网膜病变(ROP)、 巨细胞病毒(CMV)感染、脑室内出血(IVH)Ⅲ 级等发生情况。 1.7 统计学分析
应用SPSS 13.0 统计软件进行统计学处理与分 析,计量资料以均值± 标准差(x±s)表示,计 数资料以例数和百分率(%)表示,使用独立样 本t 检验、卡方检验、Fisher 确切概率法对数据进 行分析,P<0.05 为差异有统计学意义。 2 结果 2.1 胸部X 线检查结果
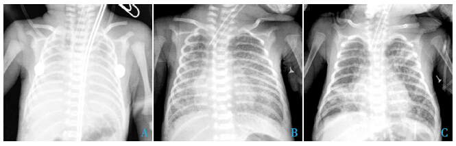
BPD 患儿胸部X 线检查主要表现为新生儿 RDS、经典型BPD Ⅲ期及Ⅳ期表现。图 1 示BPD 患儿1 d、18 d 及28 d 的胸部X 线表现。
![]() |
图 1 胸部X 线表现 A:生后1 d,呈RDS Ⅳ级改变;B:生后18 d,呈线条状或斑片状阴影间伴充气的透亮小囊 腔改变;C:生后28 d,表现为双肺野透亮区扩大呈囊泡状,伴两肺结构紊乱、散在条状或斑片影 |
BPD 患儿胸部CT 检查主要表现为肺透亮度减 低7 例(12%),肺内有条索状密度增高影21 例 (36%),囊泡形成31 例(52%)。图 2 示BPD 患儿80 d、85 d 的胸部CT 扫描表现。
![]() |
图 2 胸部CT 扫描表现 A:生后80 d,呈网格状影伴 囊泡形成改变(箭头所示);B:生后85 d,呈条索状影伴囊泡形 成改变(箭头所示)。 |
中/ 重度BPD 组有创通气时间、无创通气时 间、氧疗时间、抗生素使用时间、静脉营养使用 时间、住院时间长于轻度BPD 组(P<0.05);院 内感染发生率、红细胞输注次数高于轻度BPD 组 (P<0.05)。不同程度BPD 患儿的临床资料见表 1。
| 表 1 不同程度BPD 患儿的临床资料 |
轻度BPD 组RDS Ⅰ级(生后1 d)、肺透亮 度减低(生后4~10 d、生后28 d 及以上)等X 线 改变比例较中/ 重度BPD 组高(P<0.05);中/ 重 度BPD 组BPD Ⅲ 期改变( 生后4~10 d)、BPD Ⅳ期改变(生后28 d 及以上)等比例较轻度BPD 组高(P<0.05)。中/ 重度BPD 组出现BPD 特征 性改变(经典型BPD Ⅲ期)的时间可早在生后 4~10 d。两组患儿胸部X 线检查结果见表 2。
| 表 2 不同程度BPD 患儿胸部X 线表现的比较 |
对轻度及中/ 重度BPD 组胸部CT 检查特征 性改变,即透亮度减低、条索状影形成、囊泡形 成,进行分析,显示轻度BPD 组主要表现为透亮 度减低的比例显著高于中/ 重度BPD 组(P<0.05), 见表 3。
| 表 3 不同程度BPD 患儿CT 表现的比较 |
本研究显示BPD 程度越重,使用呼吸机及 氧疗时间越长,抗生素、静脉营养使用时间越长,发生院内感染几率越高,输注红细胞次数越 多,提示上述因素可预测BPD 的严重程度。国内 亦有报道长时间吸入高浓度氧以及机械通气是影 响BPD 严重程度的重要因素[8]。早产儿BPD 调查 协作组对国内10 家NICU 在2006 年1 月1 日至 2008 年12 月31 日期间入院且存活至28 d 以上的 早产儿进行回顾性分析,认为院内感染、巨细胞 病毒感染、呼吸机持续时间≥ 7 d 为中/ 重度BPD 的高危因素[9]。
本研究中BPD 的胸部X 线表现基本涵盖经典 型BPD 的各期表现,但其分期没有经典型BPD 明 确,此研究结果与国内报道一致[10]。总结本研究 中患儿胸部X 线表现为:出生后第1 天,轻度和 中/ 重度BPD 组90% 以上患儿表现为RDS 改变; 生后4~10 d,轻度BPD 组表现为以肺透亮度减低 为主(82%),中/ 重度BPD 组40% 的患儿即出 现BPD Ⅲ期改变;生后11~27 d,轻度BPD 组仍以肺透亮度减低为主(54%),中/ 重度BPD 组 15% 的患儿出现了BPD Ⅳ期改变;生后28 d 及以 上,轻度BPD 组仍表现为肺透亮度减低的比例为 50%,10%的患儿出现了BPD Ⅳ期改变,而中/ 重 度BPD 组50% 的患儿出现了BPD Ⅳ期改变。以 上结果表明,动态胸部X 线摄片对BPD 的发生及 严重程度有一定的预测作用:即自生后第2 周开 始,严重病例在胸部X 线上即可有特征性的改变, BPD 程度越重、胸部X 线特征性改变发生越早。
尽管胸部X 线检查对BPD 的诊断有帮助,但 在对肺部网格影、线状高密度影及囊状透亮影的 范围及大小的观察上,胸部X 线检查不及胸部CT 扫描敏感[10, 11]。本研究中BPD 患儿的胸部CT 扫 描主要表现为肺透亮度减低(12%)、肺内有条索 状密度增高影(36%)以及囊泡形成(52%)等, 其中轻度BPD 组主要表现为肺透亮度减低的比例 显著高于中/ 重度BPD 组,差异有统计学意义, 而表现为囊泡形成的比例低于中/ 重度组,可能由 于样本量较小差异未达统计学意义,提示BPD 程 度较重者胸部CT 病变程度较重。Shin 等[12] 对42 例BPD 患儿进行前瞻性研究,认为相对于胸片而 言,BPD 患儿胸部CT 病变的量化评分(对过度充 气、线状病变、节段性肺不张、结构紊乱等表现 评分)与BPD 严重程度有较好的相关性(r=0.646, P<0.001),其中,以过度充气为表现的病变与 BPD 严重程度相关性更高(r=0.738,P<0.001)。 国外文献指出,BPD 的早产儿后期可并发肺功能 降低,而在这些患儿11 岁时的肺部影像上可见持 续性气肿的改变(86% 肺部影像上存在囊泡改变), 同时这些患儿的胸部CT 检查大部分提示异常(10 岁组达81.3%,18 岁组达92.5%)[13]。提示胸部 CT 检查可较好反映BPD 的严重程度,并能对肺功 能进行预测。但由于X 线检查尤其CT 检查存在放 射性伤害,故临床在进行上述检查时需根据病情 需要酌情选择。
综上所述,BPD 程度越重,应用呼吸机、氧疗、 抗生素、静脉营养等的时间越长,发生院内感染 几率越高,输注红细胞次数越多。BPD 程度较重的患儿,其影像学改变更为典型,动态胸部X 线 摄片对BPD 的严重程度有一定的预测作用。
| [1] | Aly H. Is there a strategy for preventing bronchopulmonary dysplasia? Absence of evidence is not evidence of absence[J]. Pediatrics, 2007, 119(4): 818-820. |
| [2] | Natarajan G, Pappas A, Shankaran S, et al. Outcomes of extremely low birth weight infants with bronchopulmonary dysplasia: impact of the physiologic definition[J]. Early Hum Dev, 2012, 88(7): 509-515. |
| [3] | Groothuis JR, Makari D. Defnition and outpatient management of the very low-birth-weight infant with bronchopulmonary dysplasia[J]. Adv Ther, 2012, 29(4): 297-3l1. |
| [4] | Bhandari A, Bhandari V. Pitfalls, problems, and progress in bronchopulmonary dysplasia[J]. Pediatrics, 2009, 123(6): 1562-1573. |
| [5] | Northway WH, Rosan RC, Porter DY. Pulmonary disease following respirator therapy of hyaline-membrane disease: bronchopulmonary dysphasia[J]. N Engl J Med, 1967, 276(7): 357-368. |
| [6] | 邵肖梅, 叶鸿瑁, 丘小汕. 实用新生儿学 [M].第4版. 北京: 人民卫生出版社, 2011: 395-398. |
| [7] | Mahut B, De Blic J, Emond S, et al. Chest computed tomography findings in bronchopulmonary dysplasia and correlation with lung function[J]. Arch Dis Child Fetal Neonatal Ed, 2007, 92(6): F459-F464. |
| [8] | 李燕, 韦秋芬, 潘新年, 等. 早产儿支气管肺发育不良严重程度的影响因素[J].中国当代儿科杂志, 2014, 16(10): 1014-1018. |
| [9] | 早产儿支气管发育不良调查协作组. 早产儿支气管肺发育不良发生率及高危因素的多中心回顾调查分析[J]. 中华儿科杂志, 2011, 49(9): 655-662. |
| [10] | 王丽华, 宋庆花, 刘英慧, 等.支气管肺发育不良的 X 线与多层螺旋 CT 影像分析[J]. 中华肺部疾病杂志(电子版), 2014, 7(4): 427-429. |
| [11] | Rossi UG, Owens CM. The radiology of chronic lung disease in children[J]. Arch Dis Child, 2005, 90(6): 601-607. |
| [12] | Shin SM, Kim WS, Cheon JE, et al. Bronchopulmonary dysplasia: new high resolution computed tomography scoring system and correlation between the high resolution computed tomography score and clinical severity[J]. Korean J Radiol, 2013, 14(2): 350-360. |
| [13] | Głowacka E, Lis G. Bronchopulmonary dysplasia - early and long-term pulmonary sequelae[J]. Pneumonol Alergol Pol, 2008, 76(6): 437-445. |
2015, Vol. 17





