2. 中国医学科学院北京协和医院神经内科, 北京 100730
抗N-甲基-D-天冬氨酸受体(N-methyl-D-aspartate receptor, NMDAR)脑炎于2007年由Dalmau等[1]首次报道。2011年Dalmau等[2]指出,约55%抗NMDAR脑炎存在头颅MRI异常,病灶位于颞叶、海马、胼胝体、大脑/小脑皮质、额叶底部、基底节、脑干等部位,其中80%的病灶在颞叶和前额叶。2013年Titulaer等[3]报道的抗NMDAR脑炎患者头颅MRI异常比例为33%。目前关于抗NMDAR脑炎患儿头颅MRI的研究主要集中在颅内病灶的分布方面,缺乏对头颅MRI异常或正常的抗NMDAR脑炎患儿临床特点的比较分析。本研究通过回顾性分析,观察头颅MRI异常或正常的抗NMDAR脑炎患儿在临床特点及预后方面的差异,以期对临床有一定的指导作用。
1 资料与方法 1.1 研究对象以2012年1月至2016年1月首都儿科研究所附属儿童医院收治的33例抗NMDAR脑炎患儿(脑脊液抗NMDAR-IgG抗体阳性)为研究对象,其中男性16例(48%)、女性17例(52%),年龄2~16岁、平均8±4岁。急性或亚急性起病(病程 < 3个月)的抗NMDAR脑炎诊断参照文献[1],下述主要症状中至少符合4条:(1)精神行为异常或认知障碍,(2)语言障碍,(3)抽搐,(4)运动障碍或姿势异常,(5)意识障碍,(6)自主神经功能障碍或中枢性低通气;下列检查中至少符合1项并除外其他疾病:(1)脑电图异常(局部或弥漫性慢波、癫癎波或极端δ刷),(2)脑脊液白细胞升高或寡克隆阳性,脑脊液抗NMDAR-IgG抗体阳性。患儿均进行血清或脑脊液相关病原学检查(包括单纯疱疹病毒Ⅰ型和Ⅱ型、ECHO病毒、COX病毒、EB病毒、肺炎支原体、EV71病毒以及脑脊液细菌培养、脑脊液墨汁染色、脑脊液抗酸染色)。病情严重程度采用Glasgow评分。后遗症严重程度评估分为严重后遗症和轻度后遗症[4-5],严重后遗症包括意识障碍、双侧听力丧失、运动障碍、癫癎、视力障碍、脑积水;轻度后遗症包括行为问题、学习困难、单侧听力丧失、肌张力低下、复视。
1.2 头颅磁共振扫描应用美国GE公司1.5T磁共振扫描仪对所有患儿行MRI常规序列(包括T1WI、T2WI、T2-FLAIR、DWI及钆喷酸葡胺增强扫描)检查。
1.3 血清及脑脊液抗NMDAR-IgG抗体检测应用德国欧蒙间接免疫荧光染色试剂盒检测血清及脑脊液抗NMDAR抗体(中国医学科学院北京协和医院进行检测)。
1.4 治疗参照文献[2]对患儿予以一线或者二线免疫治疗。一线免疫治疗包括糖皮质激素冲击治疗(甲泼尼龙每日15~20 mg/kg、静脉滴注3 d,然后口服醋酸泼尼松:每日2 mg/kg×4 d,疗效好可连续治疗3轮),静脉注射人免疫球蛋白(每日0.4 g/kg,连用5 d)及血浆置换,伴肿瘤者同时予肿瘤切除。二线治疗:利妥昔单抗(375 mg/m2,静脉滴注,每周1次,连用4周),或者环磷酰胺(每日500~750 mg/m2,每个月1次,连续6次后改为每3个月一次连用3次,以后半年1次,累积总量需达3 600 mg/m2)。
1.5 统计学分析应用SSPS 19.0软件进行数据处理。符合正态分布的计量资料采用均数±标准差(x±s)表示,统计学比较采用独立样本t检验;计数资料采用百分比表示,统计学比较采用χ2检验。以P < 0.05为差异具有统计学意义。
2 结果 2.1 抗NMDAR脑炎的临床特点33例抗NMDAR脑炎患儿发生率从高到低的首发症状为:癫癎发作20例(61%)、不自主运动20例(61%)、语言障碍18例(54%)、精神行为异常17例(52%)、意识障碍10例(30%)、记忆力下降8例(24%)、瘫痪5例(15%)、中枢性通气障碍1例(3%)。脑脊液抗NMDAR抗体阳性33例(100%),血清抗NMDAR抗体阳性的29例(88%)。脑脊液白细胞升高的15例(46%)、脑脊液蛋白升高3例(9%)、脑脊液寡克隆阳性29例(88%),脑脊液糖和氯化物均正常。血清病原学方面:COX病毒阳性3例、肺炎支原体抗体阳性3例、ECHO病毒阳性2例、甲型流感病毒阳性2例、乙型流感病毒阳性1例、EB病毒阳性1例。脑脊液相关病原学检查未见异常。26例(79%)患儿的脑电图异常(癫癎波或慢波或合并存在)。33例中仅1例发生呼吸衰竭,1例在随诊过程中发现蝶鞍区生殖细胞瘤。
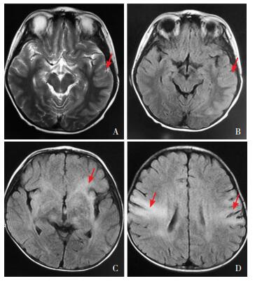
2.2 头颅MRI表现33例患儿中头颅MRI异常13例(39%),表现为T1WI低信号或等信号,同时T2WI及FLAIR表现为高信号,2例存在脑膜强化。病变的部位包括颞叶5例(38%),额叶3例(23%),基底节3例(23%),顶叶2例(15%),枕叶2例(15%),脑干2例(15%),丘脑1例(8%),小脑1例(8%)。其中白质病变为主者8例(62%),灰质病变为主者5例(38%)。部分病例头颅MRI表现见图 1。
|
图 1 抗NMDAR脑炎患儿头颅MRI表现 左侧颞叶局部脑回T2WI(A)高信号、T2 FLAIR像(B)高信号。额、顶及颞叶脑回、基底节区T2 FLAIR像(C、D)高信号,病变部位如箭头所示。 |
头颅MRI异常患儿的前驱感染比例、意识障碍发生率、病情反复的几率、Glasgow严重评分、脑脊液白细胞升高发生几率、二线治疗的应用率均高于头颅MRI正常患儿(P < 0.05)。见表 1。
| 表 1 头颅MRI异常或正常的抗NMDAR脑炎患儿临床特点分析 |
|
|
抗NMDAR脑炎是一种抗细胞表面抗原抗体相关的自身免疫性脑炎,自2010年中国报道首例抗NMDAR脑炎后,陆续有成人和儿童的相关报道[6-8]。既往研究表明,不是所有的抗NMDAR脑炎患者都存在头颅MRI的异常。Dalmau等[2]报道55%抗NMDAR脑炎存在头颅MRI的异常,病变部位位于颞叶、海马、胼胝体、大脑/小脑皮质、额叶底部、基底节、脑干等部位。Titulaer等[3]针对540例抗NMDAR脑炎患者(包括儿童和成人)的一项多中心研究中显示,33%的患者存在头颅MRI异常,其中80%的异常信号出现在颞叶和前额叶。本研究的研究对象全部为儿童,发现13例(39.4%)存在头颅MRI的异常,部位以颞叶、额叶和基底节所占比例最高,头颅MRI异常的发生率和病变部位与文献报道基本相符。
国外报道48%~86%的抗NMDAR脑炎患儿在发病前2周存在前驱感染[9]。本研究16例(48%)患儿存在前驱感染。结果还显示,头颅MRI异常患儿的前驱感染所占比例、脑脊液白细胞升高所占比例以及病情反复的发生几率均高于头颅MRI正常患儿,提示部分抗NMDAR脑炎患儿可能在前趋感染后发生脑炎,继之免疫反应导致抗NMDAR抗体产生而加重脑组织损伤。既往报道[10-12]单纯疱疹病毒脑炎后出现抗NMDAR脑炎也支持上述机制。病毒性脑炎多累及灰质,本研究5例患儿的头颅MRI显示以灰质病变为主,符合病毒性脑炎的影像学特点。因此对于抗NMDAR脑炎患儿应注意病原学的检测。另外,头颅MRI异常患儿的Glasgow严重严重程度评分、二线药物应用比例高于头颅MRI正常患儿。提示头颅MRI异常的抗NMDAR脑炎患儿的病情严重程度较高,可能需要早期应用二线免疫抑制剂。
本研究发生率前三位的首发症状为癫癎发作、不自主运动、语言障碍,与既往文献[3, 13]报道的抗NMDAR脑炎儿童患者的临床表现基本相符。抗NMDAR脑炎最初是在卵巢畸胎瘤病人中发现的[1]。抗NMDAR脑炎患者合并的肿瘤以卵巢畸胎瘤居多,可能合并的其他肿瘤有小细胞肺癌、乳腺癌、睾丸肿瘤、胰腺神经内分泌癌、淋巴瘤等[3, 14]。因此,抗NMDAR脑炎患者需排除合并肿瘤的可能。本研究33例中仅1例患儿发现蝶鞍区的生殖细胞瘤,与既往报道不同。
综上所述,头颅MRI异常的抗NMDAR脑炎患儿存在某些临床特点,这些特点对于病情的判断和诊疗措施的选择具有一定指导意义。
| [1] |
Dalmau J, Tüzün E, Wu HY, et al. Paraneoplastic anti-N-methyl-D-aspartate receptor encephalitis associated with ovarian teratoma[J]. Ann Neurol, 2007, 61(1): 25-36. DOI:10.1002/ana.v61:1 ( 0) |
| [2] |
Dalmau J, Lancaster E, Martinez-Hernandez E, et al. Clinical experience and laboratory investigations in patients with anti-NMDAR encephalitis[J]. Lancet Neurol, 2011, 10(1): 63-74. DOI:10.1016/S1474-4422(10)70253-2 ( 0) |
| [3] |
Titulaer MJ, McCracken L, Gabilondo I, et al. Treatment and prognostic factors for long-term outcome in patients with anti-NMDA-receptor encephalitis:an observational cohort study[J]. Lancet Neurol, 2013, 12(2): 157-165. DOI:10.1016/S1474-4422(12)70310-1 ( 0) |
| [4] |
Granerod J, Ambrose HE, Davies NW, et al. Causes of encephalitis and differences in their clinical presentations in England:a multicentre, population-based prospective study[J]. Lancet Infect Dis, 2010, 10(12): 835-844. DOI:10.1016/S1473-3099(10)70222-X ( 0) |
| [5] |
Evans J. Life after encephalitis:a narrative approach[J]. Brain Inj, 2017, 31(4): 567. DOI:10.1080/02699052.2016.1274782 ( 0) |
| [6] |
王晓慧, 方方, 丁昌红, 等. 儿童抗N-甲基-D-天冬氨酸受体脑炎七例[J]. 中华儿科杂志, 2012, 50(12): 885-889. DOI:10.3760/cma.j.issn.0578-1310.2012.12.002 ( 0) |
| [7] |
卢强, 关鸿志, 任海涛, 等. 不伴肿瘤的抗N-甲基-D-天冬氨酸受体脑炎三例分析[J]. 中华神经科杂志, 2013, 46(5): 315-319. ( 0) |
| [8] |
任海涛, 崔丽英, 关鸿志, 等. 不明原因脑炎中抗N-甲基-D-天冬氨酸受体脑炎的筛查诊断[J]. 中华神经科杂志, 2014, 47(2): 119-122. ( 0) |
| [9] |
Miya K, Takahashi Y, Mori H. Anti-NMDAR autoimmune encephalitis[J]. Brain Dev, 2014, 36(8): 645-652. DOI:10.1016/j.braindev.2013.10.005 ( 0) |
| [10] |
Nosadini M, Mohammad SS, Corazza F, et al. Herpes simplex virus-induced anti-N-methyl-D-aspartate receptor encephalitis:a systematic literature review with analysis of 43 cases[J]. Dev Med Chlid Neurol, 2017, 59(8): 796-805. DOI:10.1111/dmcn.13448 ( 0) |
| [11] |
Hacohen Y, Deiva K, Pettingill P, et al. N-methyl-D-aspartate receptor antibodies in post-herpes simplex virus encephalitis neurological relapse[J]. Mov Disord, 2014, 29(1): 90-96. DOI:10.1002/mds.25626 ( 0) |
| [12] |
Galli J, Clardy SL, Piquet AL. NMDAR encephalitis following herpes simplex virus encephalitis[J]. Curr Infect Dis Rep, 2017, 19(1): 1. ( 0) |
| [13] |
刘磊, 宋兆慧, 郭晶, 等. 国人45例抗N-甲基-D-天冬氨酸受体脑炎病例分析[J]. 中华神经科杂志, 2014, 47(7): 474-481. ( 0) |
| [14] |
关鸿志, 孔维泽, 彭斌, 等. 复发性抗N-甲基-D-天冬氨酸受体脑炎临床分析[J]. 中华医学杂志, 2015, 95(13): 996-1001. DOI:10.3760/cma.j.issn.0376-2491.2015.13.009 ( 0) |
2018, Vol. 20



0)