过刊目录

  • 全选
    |
    论著·临床研究
  • 论著·临床研究
    黄志恒,孙轶,陈超
    2011, 13(10): 771-775.
    摘要 ( ) PDF全文 ( )   可视化   收藏
    近年来,国内外早产发生率呈不断增加的趋势。由于新生儿救治水平的提高,早产儿的存活率也在显著提高,然而幸存的早产儿容易发生脑损伤,已经成为一个严重的公共健康问题。围产期缺氧缺血、感染/炎症是早产儿脑病发生的重要因素,造成少突胶质前体细胞与皮层等处神经元的损伤。脑室周围白质的弥漫性损伤与神经元/轴突的破坏是当前早产儿脑病的重要特点,导致认知、行为障碍、脑瘫等后遗症。近年来,影像学特别是磁共振在临床诊断及随访早产儿脑病中起非常重要作用。本文总结了早产儿脑病的特点及诊断方式,以期为早产儿脑病的临床防治策略提供新的方向。
  • 论著·临床研究
    钟颖,李娟,魏克伦
    2011, 13(10): 776-779.
    摘要 ( ) PDF全文 ( )   可视化   收藏
    目的:探讨早产儿脐血血清激活素A检测的临床意义。方法:将41例胎龄为28~36周的早产儿作为研究对象,分别留取脐带、脐血和胎膜,用ELISA方法检测脐血血清激活素A的水平,镜下观察胎膜及脐带的病理改变。结果:41例早产儿脐血血清激活素A平均水平为2069 pg/mL。5例宫内感染的患儿脐血血清激活素A水平明显高于无感染患儿(2510 pg/mL vs 1975 pg/mL, P<0.01)。脐血血清激活素A对宫内感染的诊断临界值为2490 pg/mL,敏感度为80.0%,特异度为90.6%。脐血血清激活素A的水平与生后是否发生呼吸窘迫综合征无关,但与生后氧疗时间存在正相关关系(r=0.326, P<0.05)。结论:脐血激活素A可作为反映早产儿宫内感染的指标,其水平高低与生后氧疗时间有关。
  • 论著·临床研究
    徐发林,庄方莉,白琼丹,段佳佳
    2011, 13(10): 780-782.
    摘要 ( ) PDF全文 ( )   可视化   收藏
    目的:对不同分级的呼吸窘迫综合征(RDS)早产儿的围生期状况进行分析,以了解与RDS严重程度相关的高危因素。方法:667例早产RDS患儿根据胸片显示的分级结果分为4个组别,1级217例, 2级225例, 3级126例,4级99例,对各组围生期情况进行回顾性分析。结果:分级不同的RDS早产儿在性别、双胎、双胎之小所占的比例、母亲年龄、产前糖皮质激素应用、有无胎膜早破/胎盘早剥、受孕与分娩方式等方面的差异均无统计学意义(P>0.05),但随着RDS分级的加重,患儿出生体重和胎龄在减小,而Apgar评分≤7分的患儿比例及母亲患妊娠高血压疾病的比例在逐渐增大,差异有统计学意义(P<0.05)。结论:RDS的分级主要与早产程度、出生体重、围生期窒息等高危因素有关。
  • 论著·临床研究
    林新祝,郑直,林雅茵,赖基栋,李雅丹
    2011, 13(10): 783-786.
    摘要 ( ) PDF全文 ( )   可视化   收藏
    目的:比较经鼻同步间歇正压通气(NSIPPV)与经鼻持续气道正压通气(NCPAP)治疗早产儿呼吸暂停的疗效。方法:将2010年8月至2011年1月住院的80例呼吸暂停早产儿随机分为NSIPPV组与NCPAP组,每组40例,比较治疗前、治疗后2 h血气分析结果、上机时间、疗效和并发症。结果:治疗前两组血气分析结果的差异无统计学意义(P>0.05),治疗后2 h NSIPPV组的pH值、PaO2、PaCO2均明显优于NCPAP组(P<0.05);NSIPPV组上机时间(50±9 h)明显短于NCPAP组(91±11 h),差异有统计学意义(P<0.01);两组治疗的总有效率(95% vs 85%)差异无统计学意义(P>0.05),但NSIPPV组3 d 内撤机的比例(23/40)明显高于NCPAP组(14/40)(P<0.05);两组并发症发生比率(22% vs 25%)差异无统计学意义(P>0.05)。结论:NSIPPV治疗早产儿呼吸暂停比NCPAP更有优势。
  • 论著·临床研究
    夏丽娜,王志强,王宗敏,张普
    2011, 13(10): 787-789.
    摘要 ( ) PDF全文 ( )   可视化   收藏
    目的:分析 c-kit和缝隙连接蛋白43(Cx43)在新生儿自发性胃穿孔(spontaneous neonatal gastric perforation, SNGP)中的表达情况,探讨Cajal间质细胞(interstitial cell of Cajal, ICC)在新生儿SNGP中的意义。方法:收集2001~2010年手术治疗的19例SNGP胃组织标本,以8例无消化道畸形新生儿尸检胃组织作为对照,采用免疫组织化学SP法进行c-kit和Cx43检测。结果:SNGP患儿胃壁穿孔处肌层缺失,穿孔周围肌束明显变薄。与对照组比较,SNGP患儿胃组织中c-kit阳性细胞以及Cx43阳性细胞表达明显减少(P<0.01)。结论:新生儿SNGP与胃壁ICC数量减少、缝隙连接结构破坏有关。
  • 论著·临床研究
    晁爽,曾超美,刘捷
    2011, 13(10): 790-793.
    摘要 ( ) PDF全文 ( )   可视化   收藏
    目的:探讨不同病因所致妊娠血小板减少与新生儿转归的关系。方法:选择2009年1月至2010年12月140例妊娠合并血小板减少的孕妇及其新生儿,孕妇根据血小板减少的病因分为4组:妊娠期血小板减少症(GT)组(n=94);妊娠合并免疫性血小板减少性紫癜(ITP)组(n=30);妊娠合并其他血液系统疾病(再障、骨髓增生异常综合征)组(n=12);其他原因组(n=4):妊娠期高血压综合征(PIH)、妊娠合并系统性红斑狼疮(SLE)、妊娠合并酒精性肝硬化等。比较4组新生儿的转归。结果:GT组早产率11.3%,ITP组早产率16.7%,两组比较差异无统计学意义(P>0.05)。妊娠合并其他血液系统疾病组早产率53.8%,明显高于GT组(P<0.01)和ITP组(P<0.05)。GT组和ITP组中分别有 2例(2%)和4例(13%)患新生儿先天性被动免疫性血小板减少症,其发生比率差异有统计学意义(P<0.05)。ITP组中1例(3%)患ITP,1例(3%)患Evans综合征。妊娠合并其他血液系统疾病组1例(8%)患颅内出血。其他原因组中1例(25%)患新生儿狼疮综合征。结论:不同病因所致妊娠期血小板减少可致不同的围产期母婴结局。
  • 论著·临床研究
    梁贞贞,朱鹏,高荣,鲁影,黄文,陶芳标
    2011, 13(10): 794-798.
    摘要 ( ) PDF全文 ( )   可视化   收藏
    目的:研究孕期增重对子代0~24个月内体重和肥胖风险的影响。方法:对317名孕产妇进行孕前体重、分娩前体重和一般人口统计学信息调查,在子代出生时及3、6、9、12、18、24个月龄时进行体重、身高测量和母乳喂养调查。结果:Logistic回归分析显示,孕期增重过多会显著增加子代6月龄(RR=3.56, 95% CI: 1.31~8.35)和9月龄(RR=2.87, 95% CI:1.04~3.28)时肥胖的风险,但并未增加12月龄以后的肥胖风险。线性回归模型结果显示,孕期增重与子代在出生时(β=0.032, 95% CI:0.008~0.057)、3月龄(β=0.037, 95% CI: 0.013~0.062)、6月龄(β=0.043, 95% CI: 0.017~0.068)、9月龄(β=0.038, 95% CI: 0.013~0.063)和12月龄(β=0.034, 95% CI: 0.009~0.059)时体重的Z分值间存在显著的线性关联,但这种关联在子代12个月龄后均无统计学意义。结论:孕期增重过多对子代体重发育的影响可从胎儿期持续至整个婴儿期,这种影响在生后第2年会暂时消失。
  • 论著·临床研究
    邢军卫,刘亚红,Bilal Haider SHAMSI,刘小红,谭璐,徐曼
    2011, 13(10): 799-803.
    摘要 ( ) PDF全文 ( )   可视化   收藏
    目的:研究一个婴儿期发病的腓骨肌萎缩症(CMT)家系PMP22基因突变,探讨该家系CMT的遗传学特点。方法:应用STR结合多重PCR法对2例CMT患儿及该家系内15名表型正常的成员进行PMP22基因重复突变的分析。同时选择20名健康人做为对照。结果:在2名CMT患儿及5名家系内表型正常的成员中发现了PMP22基因重复突变,其中5例突变在STR位点D17S921,2例突变在STR位点D17S4A,而家系内其余10名成员及20名健康人未发现突变。结论:该CMT家系的致病基因为17p11.2-p12区域内包含PMP22基因的重复突变,其亚型为CMT1A。
  • 论著·临床研究
    王丽波,麻宏伟,王琳,田晓博,胡曼,任爽,谭迎花
    2011, 13(10): 804-807.
    摘要 ( ) PDF全文 ( )   可视化   收藏
    目的:了解国内Duchenne肌营养不良(DMD)患儿智力水平及智力低下的比例,初步探讨DMD患儿智力的结构特点及与基因突变类型的关系。方法:选择2009年1月至2011年3月的102例DMD患儿,其中84例患儿通过多重连接依赖式探针扩增(MLPA)方法进行DMD基因检测。102例DMD患儿中,选择≥6岁的50例DMD患儿作为DMD组;另选取50例年龄、性别与DMD组匹配的健康体检儿童作为对照组。采用韦氏智力量表对两组儿童进行智力及智力结构分析。结果:102例DMD患儿的平均智商为84±21,其中30例(29.4%)总智商低于70。DMD组患儿总智商、言语智商、操作智商及其11项分测验得分均显著低于对照组(P<0.01)。其中DMD基因56-79号外显子突变患儿的智商最低(59.3±11.9),另外,45-55号外显子突变患儿的智商(88.6±1.9) 明显低于1-29号(97.5±9.6)和30-44号(102.8±3.8)外显子突变的患儿(P<0.01)。结论:DMD患儿的总智商、言语智商、操作智商均显著低于正常儿童。DMD患儿智力低下与基因突变存在联系。
  • 论著·临床研究
    庞焕香,乔红梅,成焕吉,张云峰,刘肖君,李君召
    2011, 13(10): 808-810.
    摘要 ( ) PDF全文 ( )   可视化   收藏
    目的:探讨肺炎支原体肺炎(MPP)患儿支气管肺泡灌洗液(BALF)中细胞因子TNF-α、IL-6、IL-10的水平及其临床意义。方法:采用双抗体夹心ELISA法对45例MPP急性期患儿、30例MPP恢复期患儿和20例无肺部病变的对照组患儿BALF中TNF-α、IL-6、IL-10的水平进行测定。结果:MPP患儿急性期BALF中TNF-α、IL-6、IL-10水平高于对照组,差异有统计学意义(P<0.05);恢复期TNF-α、IL-6水平较急性期明显下降,与对照组相比无统计学意义(P>0.05),恢复期IL-10水平仍持续升高,与急性期相比其水平无明显改变(P>0.05)。结论:急性期MPP患儿BALF中TNF-α、IL-6、IL-10等细胞因子水平增高,这些细胞因子可能参与了MPP的发病。
  • 论著·临床研究
    张海燕,陆敏,刘贺临,高琼,刘义红
    2011, 13(10): 811-813.
    摘要 ( ) PDF全文 ( )   可视化   收藏
    目的:探讨支气管哮喘患儿神经应激反应与气质的相关性。方法:选择2008年2月至2010年5月3~7岁支气管哮喘患儿220例作为研究对象,同期年龄、性别匹配的无哮喘、无呼吸道感染、无严重躯体疾病和精神障碍的儿童80例作为对照组。由两组父母填写3~7岁Carry气质量表;免疫化学发光法检测两组血清皮质醇(8am和4pm)和神经生长因子(NGF)水平。结果:哮喘组在气质维度中的节律性、持久性低于对照组,而在趋避性、反应强度、情绪本质、适应性、注意分散等方面得分较对照组高,差异有统计学意义(P<0.05)。哮喘患儿8am和4pm的皮质醇水平均较对照组低,NGF水平则明显高于对照组,差异有统计学意义(P<0.05)。哮喘患儿的气质维度在反应强度、情绪本质、适应性方面与NGF水平呈正相关(r=0.348,0.468,0.195),而与8am的皮质醇水平呈负相关(r=-0.297, -0.462, -0.152)。结论:哮喘患儿的气质维度与神经应激反应相关,为下一步通过神经心理调节来干预支气管哮喘的治疗提供了理论依据。
  • 论著·临床研究
    潘琼,丁梅芳,张舒,宁颖,刘宏伟,魏红,岳虹霓
    2011, 13(10): 814-816.
    摘要 ( ) PDF全文 ( )   可视化   收藏
    目的:测定变态反应性疾病患儿血浆中肥大细胞羧肽酶和类糜蛋白酶的含量,评价其在变态反应性疾病诊断中的意义。方法:采用ELISA法检测59例变态反应性疾病儿童和53例健康儿童血浆中肥大细胞羧肽酶和类糜蛋白酶水平。结果:变态反应性疾病患儿血浆羧肽酶和类糜蛋白酶含量分别为1.089±0.752 ng/mL、0.905(0.375~2.318)ng/mL,显著高于健康儿童[0.593±0.380 ng/mL、0.454(0.097~1.077) ng/mL],差异有统计学意义(P<0.05)。变态反应性疾病患儿血浆羧肽酶水平与类糜蛋白酶水平呈显著正相关(r=0.684,P<0.01)。结论:变态反应性疾病儿童血浆中肥大细胞羧肽酶和类糜蛋白酶水平增高,提示二者可作为变态反应性疾病的诊断的有意义的指标。
  • 论著·临床研究
    王建军,黄越,吴春,许玉霞,魏钰书,赵耀
    2011, 13(10): 817-819.
    摘要 ( ) PDF全文 ( )   可视化   收藏
    目的:观察原发性肾病综合征(PNS)患儿血清酰化刺激蛋白(ASP)、补体C3水平的变化以及与血脂的关系。方法:分别检测35例未经治疗的PNS患儿(蛋白尿组)和25例缓解期PNS患儿(缓解组)空腹血清ASP、C3、白蛋白及血脂水平,并与35例体重指数相匹配的正常儿童(对照组)进行比较。结果:蛋白尿组血清ASP水平(101±22 nmol/L)高于缓解组(32±8 nmol/L)及对照组(33± 8 nmol/L)(P<0.01),而血清C3水平在3组之间差异无统计学意义。蛋白尿组血清总胆固醇(TC)、甘油三酯(TG)、低密度脂蛋白(LDL)、载脂蛋白B(apoB)水平明显升高,血清白蛋白(ALB)水平明显降低,与缓解组和对照组比较,差异有统计学意义(P0.05)。结论:PNS患儿血清ASP水平升高,推测与机体对抗高脂血症有关。
  • 论著·临床研究
    蔡海芳,蓝菊红,潜丽俊
    2011, 13(10): 820-822.
    摘要 ( ) PDF全文 ( )   可视化   收藏
    目的:临床路径是一种多学科的、综合性的整体管理方式。本研究旨在评价临床路径在轮状病毒肠炎患儿中应用的效果。方法:将71例轮状病毒肠炎住院患儿作为观察组,按临床路径接受个体化治疗、护理。 同时选取同期75例轮状病毒肠炎住院患儿为对照组,给予传统的治疗、护理方式。结果:与对照组比较,观察组患儿住院日明显缩短,住院费用明显降低,患儿家长满意度明显增加,差异均有统计学意义(P<0.05)。结论:应用临床路径可减少轮状病毒肠炎患儿平均住院日和住院费用,提高护理质量,增加患儿家长的满意度。
  • 论著·实验研究
  • 论著·实验研究
    高金枝,郑睿丹,王成斌,应艳琴,罗小平
    2011, 13(10): 823-826.
    摘要 ( ) PDF全文 ( )   可视化   收藏
    目的:研究磷脂酰肌醇激酶(PI3K)抑制剂LY294002对小鼠前脂肪细胞分化和CCAAT增强子结合蛋白α(C/EBPα)及过氧化物酶体增殖物激活受体γ(PPARγ)表达的影响,探讨胰岛素受体底物(IRSs)/PI3K信号通路在前脂肪细胞分化中的作用。方法:小鼠3T3-L1细胞分为实验组和对照组,实验组加入LY294002(25 μmol/L),对照组加入同体积DMSO。应用0.5 mmol/L 3-异丁基-1-甲基黄嘌呤(IBMX)、10-6 mol/L地塞米松和5 μg/mL胰岛素诱导两组前脂肪细胞分化,在培养的0 d、2 d、4 d、8 d分别收集细胞,实时PCR法及Western blot法检测细胞中C/EBPα和PPARγ表达水平。培养8 d油红O染色,观察细胞分化情况。结果:小鼠3T3-L1细胞基础状态下两组C/EBPα及PPARγ表达差异无统计学意义(P>0.05);诱导分化时实验组C/EBPα及PPARγ表达低于对照组(分别P<0.05,P<0.01)。油红O染色示实验组细胞无明显脂滴。结论:PI3K抑制剂LY294002能抑制小鼠前脂肪细胞分化及C/EBPα和PPARγ的表达,提示IRSs/PI3K信号通路可通过调节PPARγ和C/EBPα的表达在3T3-L1前脂肪细胞的分化中发挥重要作用。
  • 论著·实验研究
    李文开,李云,钟礼立
    2011, 13(10): 827-831.
    摘要 ( ) PDF全文 ( )   可视化   收藏
    目的:观察全反视黄酸(ATRA)对哮喘大鼠气道反应性、气道重塑和肺组织基质金属蛋白酶-9(MMP-9)表达的影响。方法:40只大鼠随机分为5组,每组8只:盐水组、模型组、ATRA组、棉籽油组和布地奈德(BUD)组。后4组经卵清蛋白(OVA)致敏14 d后激发6周,构建大鼠慢性哮喘模型。ATRA组、棉籽油组和BUD组每次激发前分别给予ATRA 50 μg/kg、棉籽油1 mL和BUD 0.32 mg/kg。5组大鼠行气道反应性检测,并测定肺组织MMP-9表达和气道重塑情况。结果:ATRA干预组的气道反应性与盐水组比较差异无统计学意义(P>0.05),MMP-9表达高于盐水组,差异具有统计学意义(P<0.05)。ATRA干预组的气道反应性和MMP-9表达均明显低于模型组,气道重塑改变减轻,差异具有统计学意义(P<0.05)。结论:早期预防性ATRA干预通过减少肺组织MMP-9表达,可在一定程度上减轻哮喘大鼠的气道重塑和气道高反应性。
  • 论著·实验研究
    冷倩,崔瑞琴,陆彪
    2011, 13(10): 832-836.
    摘要 ( ) PDF全文 ( )   可视化   收藏
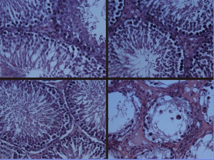
    目的:探讨雷公藤多苷对青春期大鼠睾丸组织的近、远期影响及机制。方法:5周龄雄性Sprague-Dawley(SD)大鼠48只,随机分为对照组、小剂量和大剂量雷公藤多苷组(每组16只),分别给予1%羧甲基纤维素钠、雷公藤多苷小剂量(每日6 mg/kg)和大剂量(每日12 mg/kg)灌胃4周,观察停药24 h和4周后大鼠的睾丸组织学改变及c-kit表达。结果:停药24 h,两个雷公藤多苷组睾丸生精细胞均减少、c-kit表达下调(P0.05),大剂量组仍表现为生精上皮萎缩、间质水肿,睾丸重量、生精细胞 c-kit 表达下降(P<0.01)。结论:雷公藤多苷可致青春期大鼠睾丸组织损伤,小剂量引起睾丸组织近期可逆性损伤;大剂量可致睾丸组织远期损伤,提示睾丸间质病变可能是雷公藤多苷致青春期大鼠睾丸组织远期损伤的原因之一。
  • 论著·实验研究
    赵海燕,陈红武,钱新华,胡旭初
    2011, 13(10): 837-841.
    摘要 ( ) PDF全文 ( )   可视化   收藏
    目的:克隆人硫氧还蛋白1(hTrx-1)基因并在大肠杆菌表达体系中进行有效表达,制备其多克隆抗体。初步探讨hTrx-1对内毒素血症新生Sprague-Dawley(SD)大鼠的保护作用。方法:从人胎肝细胞中用RT-PCR的方法得到了hTrx-1全长基因,将它克隆到原核表达载体上,在大肠杆菌诱导表达并纯化,纯化的蛋白免疫SD大鼠,制备多克隆抗体。将新生SD大鼠分为正常组、脂多糖(LPS)组和hTrx-1组(n=12)。正常组、LPS组分别予以腹腔注射生理盐水、LPS(5 mg/kg); hTrx-1组于LPS注射前30 min腹腔注射hTrx-1(10 mg/kg)。观察正常组、LPS组与hTrx-1组新生大鼠24 h死亡率。结果:成功构建PET-28a-hTrx-1原核表达载体,表达纯化了hTrx-1,获得高效价多克隆抗体。正常组、LPS组与hTrx-1组大鼠24 h的死亡率分别是0、67%、17%(χ2=14.400,P<0.01)。结论:成功制备了hTrx-1多克隆抗体;初步证明了该蛋白对内毒素血症新生SD大鼠具有保护作用。
  • 临床经验
  • 临床经验
    吴华平,钟建民,陈勇,虞雄鹰
    2011, 13(10): 842-844.
    摘要 ( ) PDF全文 ( )   可视化   收藏
  • 临床经验
    游楚明,傅万海,覃晓菲,张玉,余秋敏
    2011, 13(10): 845-847.
    摘要 ( ) PDF全文 ( )   可视化   收藏
  • 病例报告
  • 病例报告
    李玉梅,李楠,徐巍,严超英
    2011, 13(10): 848-849.
    摘要 ( ) PDF全文 ( )   可视化   收藏
  • 病例报告
    钟燕兰,党西强
    2011, 13(10): 850-851.
    摘要 ( ) PDF全文 ( )   可视化   收藏